
SolVision成功案例
細胞病變辨識及分類解決方案
AI輔助細胞特徵辨識
細胞病變重要依據:細胞型態變化
在進行細胞病變檢驗時,透過活體組織切片或液態切片的方式取得檢體,檢體裡可能包含腫瘤脫落的細胞,或與腫瘤相關的DNA。醫生以細胞的特徵與型態判斷為癌細胞或正常細胞,並以細胞病變的程度作為後續治療計畫規劃以及預後判斷的參考。

切片影像特徵多元,細胞病變評斷標準不一
醫學實務上透過細胞特徵的分析,可區分癌細胞及正常細胞並針對癌細胞進行分類。然而,切片顯微影像中細胞的外觀不固定,病變發生的位置、型態也十分隨機,導致每位醫師對於癌細胞的判斷及圈選標準不盡一致,更無法透過傳統光學檢測以撰寫邏輯方式判斷癌細胞的型態。
資料擴增結合AI深度學習技術,準確判斷細胞病變
運用SolVision AI影像平台的Classification工具,使AI模型深度學習正常細胞特徵及癌細胞的病變特徵。輔以資料擴增技術模擬細胞型態的多變性及多樣性並執行強化訓練,增加AI模型執行判斷的穩定性。訓練完成的AI模型可辨識細胞病變的特徵並予以分類,進而判斷患者病情的狀況。
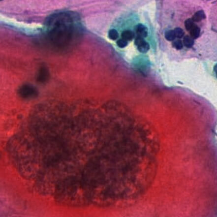
細胞病變影像檢驗案例
正常細胞

病變中期
